что такое 3д снимок челюсти
3D-снимок зубов: зачем нужно делать и что показывает
Рентгеновский снимок является основным инструментом стоматолога в постановке правильного диагноза. Однако, обычная ортопантомограмма или прицельный снимок имеют ограниченный диагностический потенциал и не предоставляют полные данные о состоянии зубов и челюстно-лицевой зоны. Но технологии постоянно модернизируются и сегодня, в помощь привычной рентгенографии пришла более информативная технология – компьютерная томография зубов (КТ).
Что показывает 3D рентген-снимок зубов?
3d томография зубов – это высокоточный диагностический метод, дающий возможность получить трехмерное изображение зубочелюстной системы в разных проекциях. Полученные при КТ объемные снимки позволяют специалисту увеличить, повернуть и исследовать со всех сторон и на разной глубине интересующую область:
КТ зубов позволяет обнаружить воспаление, оценить однородность пломбировального материала и проверить качество установки пломбы, коронки или импланта, увидеть число зубных корней и их фрагментов, выявить новообразования, оценить степень искривления зубов, определить точные параметры костной ткани (высоту, ширину, плотность и т.д.). Полученная информация позволяет врачу оптимизировать лечебные мероприятия и спрогнозировать результат.
Для чего назначают дентальный рентген?
3d снимок зубов проводится при наличии следующих показаний:
Трехмерное рентгенологическое исследование – «золотой» стандарт при планировании любой сложной стоматологической процедуры или операции. КТ позволяет быстро поставить точный диагноз, грамотно спланировать лечение или зубопротезирование и проконтролировать полученный результат.
Какое оборудование используется
Для проведения 3d диагностики, применяется трехмерный компьютерный томограф SOREDEX Scanora 3D с расширенным функционалом. Это оборудование последнего поколения, позволяющее получать трехмерные снимки анатомических структур челюстно-лицевого отдела за несколько секунд, с наименьшей лучевой нагрузкой для пациента.
Программа анализирует полученные многоплосткостные срезы и выстраивает их в 3D-модель, благодаря которой специалист имеет возможность точно оценить состояние зубочелюстной системы, обнаружить все протекающие в данной области патологические процессы и грамотно спланировать схему лечения.
Виртуальная 3-х мерная модель сканируемой зоны может быть записана на любой цифровой носитель (СD, флешку), что позволяет лечащему врачу, при необходимости просмотреть диагностические данные или привлечь к анализу полученной информации смежных специалистов.
Возможный вред
Конусно-лучевая дентальная компьютерная томография – это самый безопасный и быстрый метод диагностики. Благодаря использованию рентгеновского луча конической формы, получаемая в процессе исследования доза излучения, в 10 раз меньше, чем при использовании спиральной КТ. А пульсирующий режим рентгеновского луча дополнительно снижает дозу облучения. Трехмерный компьютерный томограф SOREDEX Scanora 3D, относится к наиболее безопасным по дозе рентгеновского облучения аппаратам – всего 0,035 м3в.
Однако, несмотря на безопасность исследования, у КТ есть и противопоказания. Если говорить просто о томографии зуба, она не проводится при беременности (в 1 триместре). 3d рентген зубов с контрастом запрещен беременным и кормящим женщинам, пациентам с эндокринными нарушениями (сахарный диабет, патологии щитовидной железы), почечной недостаточностью и непереносимостью йодсодержащих препаратов.
Преимущества метода
Есть ли альтернатива КТ
Существует множество других способов диагностической визуализации (рентгенограмма, ортопантомограмма, УЗИ и т.д.), но лишь КТ предоставляет возможность высокоточного, раздельного изображения всех типов ткани под разным углом и на разную глубину. Хотя панорамный снимок зубов и сегодня остается не менее важным диагностическим инструментом стоматолога, он может предоставить только общую обзорную картину. В свою очередь, 3d томограмма позволяет получить не единственный плоский снимок челюсти, а целый ряд последовательных многоплоскостных изображений в различной проекции и без искажений, присущих панорамному снимку.
Пример: из-за разной плотности костных структур, попавших в действие рентгеновского излучения, на 2-х мерном изображении невозможно рассмотреть менее плотную кость, точную информацию предоставляет 3d снимок зубов.
Как проходит процедура и расшифровка
Чтобы сделать 3D снимок зубов, стоящему или сидящему пациенту необходимо закусить специальную пластину и зафиксировать свое положение в аппарате с помощью фиксирующей стойки. В течение всего времени сканирования нужно соблюдать абсолютную неподвижность.
Сенсор томографа на протяжении 8-20 секунд совершает ряд оборотов вокруг головы пациента, производя около 200 снимков в разных проекциях. Обработка цифровых данных занимает 5-15 минут после чего информация записывается на диск или флеш-накопитель. Никакой подготовки не требуется, нужно лишь снять перед процедурой все металлические украшения с шеи, ушей, волос.
3D снимок зубов в стоматологии
Диагностика в стоматологии часто осложнена тем, что врач не имеет возможности увидеть полость рта или отдельный зуб в максимально подробных ракурсах. Поэтому для получения точной картины состояния зубного ряда используются аппаратные методы обследований, которые позволяют увидеть то, что недоступно при обычном визуальном осмотре.
Технологии постоянно совершенствуются, и к традиционному рентгену и ортопантомограмме добавился еще 3D снимок зубов. Как правило, именно компьютерную томографию назначают большинство пластических и челюстно-лицевых хирургов, ортодонтов и имплантологов.
Это современный диагностический метод, который позволяет специалисту увидеть детальное изображение челюсти в разных проекциях и под любым углом. Обследование в 3D формате визуализирует ротовую полость для тщательного изучения зубного ряда на предмет наличия патологий и оценки общего состояния.
Содержание
Что показывает 3D КТ зубов?
Данный вид исследования считается одним из наиболее информативных способ диагностики в стоматологии. С его помощью удается получить максимально достоверную информацию о состояния костных тканей, кровеносной системы лица и мягких тканей.
Говоря о том, что показывает 3Д снимок зубов, можно выделить следующее:
3D рентген зубов позволяет визуализировать состояние не только костных, но и мягких тканей. Это существенно упрощает процесс диагностики множества патологий и воспалительных процессов.
Кроме того, на получаемых снимках будут видны зачатки зубов, расположение нервов и кровеносных сосудов. Популярность этого диагностического метода обусловлена тем, что без его использования невозможна корректная установка ортодонтических конструкций, имплантация и плановые хирургические вмешательства в челюстно-лицевой области.
Показания к проведению процедуры
Использование компьютерной томографии зубов необходимо при большинстве ортодонтических и хирургических манипуляциях. Эта процедура также показана при следующих случаях:
Снимок зубов в 3D делается в том случае, если есть подозрения на воспалительные процессы, которые невозможно диагностировать другими методами.
Основные противопоказания
3D компьютерная томография зубов основывается на рентгеновском излучении, поэтому нельзя назвать эту процедуру полностью безопасной. Лучевая нагрузка в процессе этого обследования составляет от 0,045 до 0,06 мЗв. Это не очень высокий показатель, учитывая, что годовой предел облучения составляет 5 мЗв (согласно Минздраву РФ).
Что же касается противопоказаний, то они стандартные для всех видов рентгенологических обследований. Основное ограничение – это период беременности (особенно в первом триместре). В данном случае, ситуация рассматривается в индивидуальном порядке, исходя из соотношения вреда для ребенка и пользы для матери.
Если используется контрастное вещество (в КТ зубов и челюсти применяется не так часто), то к числу противопоказаний можно добавить:
Лактационный период не является противопоказание, но после процедуры должно пройти не менее 48 часов до следующего кормления грудью.
Можно ли делать детям?
Многие родители думают, что использование 3D компьютерной томографии невозможно в детском возрасте по причине негативного влияния на организм ребенка. Это не совсем так, ведь особое внимание к данному исследованию отдается именно в педиатрии.
Если соблюдать все правила безопасности и не превышать периодичность процедур (для детей – 1 раз в год), то обследование не приведет к каким-либо патологическим изменениям в детском организме.
3Д КТ в детской стоматологии позволяет оценить состояние носовых пазух, десен и увидеть зачатки молочных зубов. Также этот метод позволяет выявить патологии прикуса у ребенка.
Основные разновидности обследования
Трехмерные снимки делаются на различных видах томографов. Крайне важно знать, на каком именно аппарате будет проводиться обследование, ведь от этого зависит доза получаемого радиоактивного облучения и степень информативности.
Можно выделить несколько основных методик:
Как делают 3Д снимок зубов в специализированных клиниках?
Среднее время проведения процедуры – не более 1 минуты. За этот короткий промежуток времени аппарат делает порядка 200 снимков в различных проекциях.
Перед самой процедурой нужно снять все металлические предметы в непосредственной близости с исследуемой областью (цепочки, пирсинг и т.д.). Само обследование выглядит следующим образом:
Какие преимущества?
Компьютерная томография представляет собой абсолютно безболезненную процедуру, которая не доставляет никакого дискомфорта пациенту. Единственное, он должен сохранять неподвижность в течение небольшого количества времени.
Использование 3Д снимков обусловлено следующими причинами:
Где можно сделать 3D снимок в Санкт-Петербурге?
Диагностический рентген-центр «ЛУЧ» приглашает вас пройти 3D КТ челюсти, если ваш лечащий врач назначил вам эту процедуру. У нас нет очередей, поэтому вы сможете максимально быстро получить снимки для дальнейшего предоставления в лечебное учреждение.
Для удобства наших клиентов мы организовали курьерскую доставку в пределах Санкт-Петербурга. Также вам доступна запись результатов на цифровой носитель, расширенная консультация и другие дополнительные услуги. Более подробную информацию вы можете узнать на сайте.
Для записи на прием вам нужно позвонить по указанному номеру телефона, либо оставить онлайн-заявку.
3D-сканирование зубов: в чем преимущество диагностики?
3D-сканирование зубов постепенно становится новым стандартом лечения в современной стоматологической клинике. Процедура позволяет стоматологам воссоздать в цифровом виде зубы и кости черепа пациента в 3D. Врачи могут взаимодействовать с этой моделью и планировать ход лечения. 3D-сканирование позволяет быстро диагностировать проблему и подобрать наиболее эффективные способы лечения.

Что такое 3D-сканирование зубов?
3D-сканирование зубов – это современная и очень точная методика диагностики, которая позволяет стоматологу рассмотреть челюсти и зубы пациента под любым углом.
Стоматолог проводит сканирование зубов специальным прибором — внутриротовым (интраоральным) 3D-сканером. В отличие от обычного рентгеновского аппарата, прибор делает не один снимок, а тысячи и переносит их на компьютер, где из изображений формируется трехмерная модель.

Когда используется такой метод диагностики?
В отличие от традиционных слепков и ортопантомограммы, 3D-сканирование позволяет получить объемное изображение ротовой полости пациента без искажений. Это особенно важно при проведении реставрационных работ, подготовке к установке коронок и имплантов, а также при лечении на элайнерах. И вот почему: элайнер работает за счет очень плотного прилегания к зубам. Если модель для изготовления элайнеров будет недостаточно точной, то элайнер не сможет оказывать нужного воздействия в правильном направлении и, соответственно, правильная траектория перемещения зубов может нарушиться.
В клинике Star Smile используются внутриротовые 3D-сканеры вместо снятия слепков. С их помощью врач получает всю информацию о степени смещения зубов, их расположении и наклоне, о положении корней. В дальнейшем эти данные будут использоваться при производстве элайнеров.

Преимущества 3D-диагностики
У такого сканирования зубов несколько преимуществ.
Процедура снятия физических слепков может вызывать дискомфорт у пациента из-за материалов, которые размещают в ротовой полости на лотках для оттисков. Некоторым во время такой процедуры тяжело дышать, может появиться тошнота. Особенно часто эта проблема встречается у детей. Именно для таких пациентов 3D-сканирование наиболее удобный способ получить цифровую модель зубов.
При снятии оттиска могут быть небольшие неточности, так как масса для слепков – это «физический» носитель. Благодаря 3D-сканированию зубов этого можно с легкостью избежать. Стоматолог, который проводит сканирование, может контролировать качество получаемого скана прямо с экрана монитора. Если он заметит, что какой-то участок просканирован не очень четко, то он сможет сразу же переснять проблемный участок. Все это позволяет учитывать индивидуальные особенности каждого пациента и изготовить максимально точные элайнеры.
Обычная пересылка зубных слепков курьерской доставкой и процесс их сканирования занимает два-три рабочих дня. После проведения 3D-сканирования врач сразу же может отправить цифровую модель пациента по интернету в лабораторию для изготовления элайнеров. Производство начинается практически сразу же, после того как закончилось 3D-сканирование.
Эти преимущества делают такой вариант диагностики самым удобным и предпочтительным. Чем точнее снимки – тем точнее воздействие элайнеров и тем лучше и быстрее результат.
Вы можете пройти бесплатную диагностику и получить бесплатную консультацию
Врач-ортодонт даст медицинское заключение: вам лучше подходят брекеты, виниры или элайнеры
3D-исследование зубов: клад для стоматологической диагностики
. произносит доктор и препровождает вас в кабинет за толстой дверью. Всего несколько секунд – и врач знает о ваших зубах (и не только о них) все. Что же может рассказать «фотография», сделанная в трех измерениях, о вашем здоровье, насколько безопасна диагностика с помощью аппарата компьютерной томографии, кому и в каких случаях показан или же, наоборот, противопоказан трехмерный «рентген» – разберемся в нашем материале.
Конусно-лучевая компьютерная томография (КЛКТ), или 3D-исследование зубов (а еще его называют и 3D КТ, и просто компьютерная томография) – метод, который используется для диагностики зубов и лор-органов.
А уж если пациент приходит с жалобами на боль или дискомфорт, то тут компьютерный томограф – наш главный помощник.
Почему именно КЛКТ?
И чем, собственно, не устраивает снимок одного зуба, если он болит, ну или в крайнем случае «панорамник» (снимок сразу всех зубов на верхней и нижней челюстях), спросите вы. Все просто: они не позволяют заглянуть вовнутрь, полистать срезы, оценить, сколько корневых каналов у каждого зуба, изучить анатомические особенности корней.
Если врач-терапевт видит, что зуб необходимо пролечить, что, возможно, в нем глубокая кариозная полость и поражены нервы, то, чтобы хорошо сделать свою работу, он должен быть уверен, как эта полость расположена, сколько у зуба корневых каналов и куда они идут. Это позволит качественно и полностью запломбировать каждый из них до верхушек корней.
Исходя из этой информации, врач принимает решение – нужно ли депульпировать зуб (если повреждена пульпарная камера), ставить ли пломбу (если стенка зуба достаточно толстая и прочная), или нужно сделать керамическую вкладку (в случае, когда стенка слишком тонкая и не выдержит «натиска» жевательной нагрузки).
Врач-ортопед, прежде чем надеть коронку на пролеченный ранее зуб, также должен убедиться, что каналы запломбированы качественно и под коронкой со временем не возникнет воспаление. Есть отсутствующие зубы (адентия) и требуется ортопедическое лечение (установка съемных или несъемных конструкций, имплантация)? И снова нам на помощь приходит КЛКТ, которая позволяет оценить состояние костной ткани и определиться с подходом к протезированию.
Итак, 3D-метод позволяет нам очень подробно обследовать зубы, корневые каналы, трещинки, костные карманы и т.п. И не только…
Что еще «видит» 3D-томограф?
КЛКТ позволяет нам досконально обследовать лор-органы – гайморовы пазухи, внутреннее ухо – и понять, нет ли скопления жидкости, воспалительного процесса (гайморита или отита) и т.п.
3D- и 2D-диагностика: в чем разница?
2D-исследования — это плоскостные рентгеновские снимки, на которых мы видим все структуры только с одного ракурса.
Представьте себе обычную фотографию комнаты: часть стола перекрыл диван, комода не видно из-за открытой двери, а ваза спряталась за шторой. Для того чтобы разглядеть все предметы, нужно выполнить целую серию фотографий из разных точек помещения.
3D-исследование — это конусно-лучевая компьютерная томография, она представляет собой цифровое объемное изображение.
Теперь представьте виртуальный макет комнаты, в котором можно не просто рассмотреть все предметы с разных сторон, но и перемещаться сквозь них.
Именно такие возможности сделали КЛКТ ведущим методом диагностики в стоматологии, челюстно-лицевой хирургии и оториноларингологии.
Продемонстрируем особенности метода на конкретных примерах:
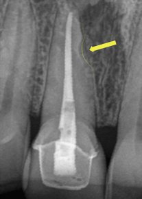
Случай №1
На двухмерном снимке просветление на боковой поверхности корня зуба наталкивает на предположение о нарушении целостности стенки корня. Это может расцениваться как патология.
Для уточнения результата был сделан трехмерный снимок.
На трехмерном снимке стало видно, что просветление сформировалось в результате наложения анатомических структур: резцового канала и корня зуба. Беспокоиться тут не о чем, это особенности анатомии.
Случай №2
На двухмерном снимке видно кистовидное образование в верхней челюсти слева. Чтобы спланировать корректный план лечения, необходимо уточнить его расположение относительно прилегающих структур, а также размер полости. Но по данным ортопантомограммы установить это невозможно из-за наложений теней и проекционных искажений.
На 3D-снимке можно изучить кистовидное образование под разными углами, определить размеры и толщину стенок для планирования лечения.
Случай №3
На 2D-снимке всех пазухи воздушные, что является нормой.
Но на трехмерном снимке видно, что в правом синусе слизистая оболочка утолщена
Трехмерная диагностика позволит избежать постановки неверного диагноза и сэкономит время и деньги пациента.













